• Ir para o conteúdo 0

Ferramentas Pessoais

  • Acessar
  • Ir para o conteúdo 1
  • Ir para o menu 2
  • Ir para a Busca 3
  • Ir para o rodapé 4
  • acessibilidade |
  • alto contraste |
  • Mapa do Site
COMSO - unirio
Coordenadoria de Comunicação Social
Busca Avançada…
  • Portal Unirio
  • Guia Telefônico
  • Contatos
Menu

Cerimonial e eventos

Agenda de Eventos

Identidade Visual UNIRIO 

Ciência na UNIRIO

Informativo Em Foco

Comunica UNIRIO

UNIRIO na Mídia  

Redes Sociais

Banco de Imagens Institucional

Campanhas

Central de Informações 

UNIRIO em Libras 

Manuais e Relatórios 

Normas

Sobre a Comso  

Você está aqui: Página Inicial / Ciência na UNIRIO
Info

Ciência na UNIRIO

Ciência na UNIRIO

Este espaço é destinado à divulgação de pesquisas e atividades científicas, acadêmicas e extensionistas desenvolvidas na Universidade. O objetivo é aproximar a comunidade dessas atividades, além de apresentar o trabalho científico produzido por alunos, técnico-administrativos e professores.

Informações resumidas sobre programas e projetos da UNIRIO podem ser acessadas pelo Portal de Pesquisa e pelo Portal da Extensão. Vídeos sobre as atividades produzidas pela Instituição estão disponíveis no canal audiovisual do Núcleo de Imagem e Som (NIS).


Gestão lazer e turismo

 

 

Monitoramento de parcerias entre as esferas pública e privada para a gestão do lazer e do turismo em unidades de conservação

(Reportagem: Liliana Glanzmann Vallejo/Jornalista Comso) 

Ciguatera

 

 

Impacto da ciguatera em Fernando de Noronha

(Reportagem: Liliana Glanzmann Vallejo/Jornalista Comso) 

IA e evasão

 

 

Pesquisa da UNIRIO propõe modelo de inteligência artificial para identificar alunos em risco de evasão

(Reportagem: Gabriella Praça/Jornalista Comso) 

HTLV-1

 

 

Pesquisa internacional identifica a acuracia de biomarcadores para diagnóstico de mielopatia associada ao HTLV-1

(Reportagem: Liliana Glanzmann Vallejo/Jornalista Comso) 

Cidades Criativas em Gastronomia

 

 

Processos de tomada de decisão podem contribuir para a imagem dos destinos turísticos das Cidades Criativas em Gastronomia da UNESCO

(Reportagem: Liliana Glanzmann Vallejo/Jornalista Comso) 

Busca e aprendizado

 

 

3C-BPA: comportamento de busca, complexidade da informação e pensamento crítico na busca como um processo de aprendizagem

(Texto: Pró-Reitoria de Pós-Graduação, Pesquisa e Inovação) 

Leite em pó

 

 

Pesquisa avalia o uso de macromoléculas para aumentar a durabilidade de alimentos de forma sustentável

(Reportagem: Liliana Glanzmann Vallejo/Jornalista Comso) 

mangifera indica-l

 

 

Docente pesquisa valorização de subprodutos da manga

(Reportagem: Liliana Glanzmann Vallejo/Jornalista Comso) 

Boletim pesquisa inovação set_24

 

- A questão étnico racial e de gênero no futuro projetado de ficções científicas literárias e cinematográficas

- Práticas infocomunicacionais e ações de competência em informação em territórios de in/exclusão

- Pílulas de direitos humanos

(Texto: Pró-Reitoria de Pós-Graduação, Pesquisa e Inovação) 

HIV gestantes2

 

 

Pesquisa pode contribuir para a liberação da amamentação por mulheres vivendo com HIV no Brasil

(Reportagem: Gibran Rocha/Jornalista Comso) 

Enoturismo

 

 

Pesquisadora destaca a importância da sustentabilidade no Enoturismo

(Reportagem: Liliana Glanzmann Vallejo/Jornalista Comso) 

exército verde

 

- Pequeno Exército Verde: combatendo a malária com plantas e nanotecnologia

- Diabetes e Covid-19: impacto da associação de duas pandemias

- Um ambiente para apoiar gestores na manutenção de arquiteturas de ecossistemas de software

(Texto: Pró-Reitoria de Pós-Graduação, Pesquisa e Inovação) 

Biodiversidade Bahia

 

 

Projeto investiga impacto das mudanças climáticas sobre biodiversidade costeira do sul da Bahia

(Reportagem: Jornalista Comso) 

Chá do café

 

- Bioativos do chá de cáscara de café

- O magistério como uma profissão feminina? Identidade docente e percursos profissionais das primeiras professoras do Colégio Pedro II

(Texto: Pró-Reitoria de Pós-Graduação, Pesquisa e Inovação) 

Catálogo Taxonômico da Fauna do Brasil

 

 

Pesquisadores participam do Projeto para a criação do Catálogo Taxonômico da Fauna do Brasil

(Reportagem: Liliana Glanzmann Vallejo/Jornalista Comso) 

Palhaço no hospital

 

 

Palhaço no hospital

(Reportagem: Daniela Oliveira/Jornalista Comso) 

Cidades inteligentes

 

 

Dissertação sobre cidades inteligentes é premiada em evento de tecnologia

(Reportagem: Gabriella Praça/Jornalista Comso) 

Gestão de projetos de software

 

 

A relevância de fatores críticos de sucesso de iniciativas de transformação ágil a partir de uma perspectiva de gerenciamento de projetos

(Reportagem: Gabriella Praça/Jornalista Comso) 

Brincando de fazer contas

 

 

Brincando de fazer contas

(Reportagem: Gibran Rocha/Jornalista Comso) 

Medicina psiquiátrica

 

 

Aluno de Medicina desenvolveu um algoritmo para predição de perfil de memória declarativa em pacientes com transtorno de pânico

(Reportagem: Gabriella Praça/Jornalista Comso) 

Clima organizacional equipes

 

 

Tese premiada propõe instrumento para avaliar clima organizacional em equipes de computação

(Reportagem: Gabriella Praça/Jornalista Comso) 

Fragrâncias e aromas de baunilhas brasileiras

 

 

Pesquisadora pretende revolucionar mercado com fragrâncias e aromas de baunilhas brasileiras

(Reportagem: Liliana Glanzmann Vallejo/Jornalista Comso) 

Escolas públicas

 

Escolas Charter e contratos de gestão na educação: mapeamento das propostas de privatização da gestão de escolas públicas no Brasil

(Texto: Pró-Reitoria de Pós-Graduação, Pesquisa e Inovação) 

Problema mestrado informática

 

 

Aluno desenvolveu um algoritmo para solucionar ‘Problema do Ladrão Viajante’

(Reportagem: Gabriella Praça/Jornalista Comso) 

Catalogação de obras indígenas

 

 

Catalogação de obras indígenas

(Reportagem: Daniela Oliveira/Jornalista Comso) 

Antropofágico

 

- Poética antropofágico-perspectivística para uma revisão da cena brasileira em cinco momentos-chave

- Horizontes da participação dos públicos nos museus: itinerários e encruzilhadas da comunicação, criação e representação

(Texto: Pró-Reitoria de Pós-Graduação, Pesquisa e Inovação) 

Escola no palco

 

 

A escola como palco

(Reportagem: Gabriella Praça/Jornalista Comso) 

Sorgo

 

 

Estudo aponta o uso do sorgo como possível solução para crescente demanda alimentar

(Reportagem: Liliana Glanzmann Vallejo/Jornalista Comso) 

IA para detectar risco de ceratocone

 

Pesquisa propõe modelo de inteligência artificial para detectar risco de ceratocone em pacientes candidatos a cirurgia refrativa

(Reportagem: Gabriella Praça/Jornalista Comso) 

Audiovox

 

- Audio Vox: catalogação e guia de escuta de obras de compositores brasileiros do gênero eltroacústica mista para voz e eletrônica no período de 1988 a 2018

- Fatores de risco para doenças cardiovasculares e estado mental em estaudentes e funcionários em uma universidade pública

(Texto: Pró-Reitoria de Pós-Graduação, Pesquisa e Inovação) 

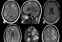
Neuro hemodiálise

 

Estudo revela alterações cognitivas em doentes renais crônicos

(Reportagem: Gabriella Praça/Jornalista Comso) 


fóssil

 

Ex-aluno participa de pesquisa internacional com cérebro fossilizado de peixe de 319 milhões de anos

(Reportagem: Liliana Glanzmann Vallejo/Jornalista Comso) 

Novo Tempo

 

Professores em Ciência Política discutem desafios e expectativas para o Brasil e para a universidade pública nos próximos anos

(Reportagem: Gabriella Praça/Jornalista Comso) 

Antonio Guerreiro de Faria

 

- Catalogação das obras de câmera, organização, pesquisa e fomento do acervo Antonio Guerreiro de Faria

- Teatro-Cabaré: poéticas, estéticas e pedagogias

(Texto: Pró-Reitoria de Pós-Graduação, Pesquisa e Inovação) 

Geogebra

 

O uso do Geogebra para construção de jogos digitais e resolução de problemas em combinatória

(Texto: Pró-Reitoria de Pós-Graduação, Pesquisa e Inovação) 

Covid-19 em pacientes infectados pelo vírus HTLV-1

 

Estudo investiga evolução da Covid-19 em pacientes infectados com o vírus HTLV-1

(Notícia: Gabriella Praça/Jornalista Comso) 

Preservação museológica

 

- Recuperação e preservação da memória da museologia no Brasil

- Estudo de polimorfismos genéticos com enfoque em nutrigenética na população brasileira

(Texto: Pró-Reitoria de Pós-Graduação, Pesquisa e Inovação) 

Ecossistemas de software

 

Dissertação premiada propõe metodologia para qualificação de incidentes em ecossistemas de software

(Notícia: Gabriella Praça/Jornalista Comso) 

Vírus HTLV-1

 

Pesquisa aponta que infecção pelo vírus HTLV-1 atinge população socioeconomicamente menos favorecida no Brasil

(Notícia: Liliana Glanzmann Vallejo/Jornalista Comso) 

Ritmo - the place-making function of ritual movement in romoan religion

 

- Ritmo - the place-making function of ritual movement in roman religion

- Quantificação do grau de contaminação bacteriana no processo de fermentação etanólica e implicações para a eficiência e a produtividade da indústria sucroenergética

(Texto: Pró-Reitoria de Pós-Graduação, Pesquisa e Inovação) 

Documentário patrimônio

 

Documentário aborda conservação patrimonial a partir de imóveis desativados na Área Portuária do Rio de Janeiro

(Reportagem: Daniela Oliveira/Jornalista Comso) 

Bioinsumos para a agricultura orgânica de Maricá

 

Projeto irá desenvolver bioinsumos para a agricultura orgânica de Maricá

(Reportagem: Gabriella Praça/Jornalista Comso)

 

Eletrocardiografia contínua por holter - Créditos: Freepik

 

- Avaliação eletrocardiográfica contínua por holter em pacientes com epilepsia do HUGG

- Projeto SELEA Brasil, sense and learn

(Texto: Pró-Reitoria de Pós-Graduação, Pesquisa e Inovação) 

Recicla direito

 

- Recicla direito

- Desenvolvimento de nanoformulações de anfotericina B

(Texto: Pró-Reitoria de Pós-Graduação, Pesquisa e Inovação) 

Covid e doenças degenerativas

 

Mecanismos relacionados à covid longa e a doenças neurodegenerativas

(Reportagem: Daniela Oliveira/Jornalista Comso) 

alimentação saudável

 

Por uma alimentação mais saudável e sustentável

(Reportagem: Liliana Glanzmann Vallejo/Jornalista Comso) 

suplementos alimentares

 

Suplementos alimentares pré-treino: pesquisa aponta riscos para a saúde

(Reportagem: Liliana Glanzmann Vallejo/Jornalista Comso) 

Monkeypox

 

Estudo coordenado pela UNIRIO analisa manifestações neurológicas associadas à monkeypox

(Reportagem: Comso) 

Pandeiro

 

A vida social do pandeiro no Rio de Janeiro (1900-1939)

(Reportagem: Comso) 

Em Foco: aleitamento Materno

 

Leite materno: um alimento que vale ouro

(Reportagem: Liliana Glanzmann Vallejo/Jornalista Comso) 

Impactos ambientais por hidrocarbonetos

 

- Abordagem multidisciplinar e em múltiplas escalas das comunidades bentônicas dos estuários do sul da Bahia para identificação e prevenção de impactos ambientais por hidrocarbonetos

- Coordenação de requisitos para otimizar a manutenção de arquiteturas de plataformas em ecossistemas de software

(Texto: Pró-Reitoria de Pós-Graduação, Pesquisa e Inovação) 

Trigo

 

Pesquisadores desenvolvem estudo que valida qualidade do trigo nacional

(Reportagem: Comso) 

Guia de Práticas Integrativas

 

Guia sobre Práticas Integrativas e Complementares

(Reportagem: Comso) 

Museu Nacional

 

O artesanato da produção acadêmica: histórias, coleções e saberes na trajetória de Heloisa Fénelon

(Reportagem: Comso) 

Espiritualidade e saúde

 

Estudo aponta efeito da espiritualidade como fator de proteção contra a ansiedade

(Reportagem: Gabriella Praça/Jornalista Comso) 

Múltiplas conexões

 

 

  

 

Múltiplas Conexões

(Reportagem: Gabriella Praça/Jornalista Comso) 

Estudo realizados por estudantes da Unirio

 

 

 

 

 

 

 

Estudantes da graduação realizam pesquisa sobre o uso das amebas testáceas como bioindicadoras

(Notícia: Liliana Glanzmann Vallejo/Jornalista Comso)

microalga Gambirdiscus - Crédito: U.S. National Oceanic and Atmospheric Administration

- Caracterização molecular e detecção via qPCR de microalgas tóxicas

- Teatro aplicado: investigações sobre um universo em expansão

(Texto: Pró-Reitoria de Pós-Graduação, Pesquisa e Inovação)

Profa. Vera Borges no MHN

- Leituras da cidade do Rio de Janeiro: turismo, patrimônio e história

- Aplicações da aprendizagem profunda abordagem multi-integrada para avaliação da toxicidade de poluentes plásticos

(Texto: Pró-Reitoria de Pós-Graduação, Pesquisa e Inovação)

Aprendizagem Profunda - Créditos: Freepik

- Aplicações da aprendizagem profunda

- Políticas de avaliação NA/DA educação infantil: concepções e ações dos sistemas municipais de ensino no Estado do Rio de Janeiro

(Texto: Pró-Reitoria de Pós-Graduação, Pesquisa e Inovação)

Internados por Covid e direção

Internados com Covid-19 recebem alta hospitalar sem condições para dirigir

(Notícia: Gabriella Praça/Jornalista Comso)

boletim abril

- DataUnirio: estatística, ciência de dados e sociedade
- Efeito da adição de proteases no processo produto sobre a bioatividade em cerveja e extração

(Texto: Pró-Reitoria de Pós-Graduação, Pesquisa e Inovação)

História de Salvador

 

Professor investiga conexões globais da cidade de Salvador no período colonial

(Notícia: Gabriella Praça/Jornalista Comso) 

boletim março

- Avaliação da microbiota fecal de indivíduos com doença inflamatória intestinal
- Coroa de abacaxi como fonte de bioprodutos

(Texto: Pró-Reitoria de Pós-Graduação, Pesquisa e Inovação)

boletim fevereiro

- Ideologia e gasto social na América Latina
- Almanaques para popularização da Ciência da Computação

(Texto: Pró-Reitoria de Pós-Graduação, Pesquisa e Inovação)

fundo do mar

A Ciência de Dentro do Mar

(Reportagem: Daniela Oliveira/Jornalista Comso)

boletim janeiro

- Ator: presença e vacância - Beckett e pessoa como “pedagogos” do ator
- Avaliação do potencial biotecnológico da comunidade microbiana na degradação anaeróbica de lodo de esgoto

(Texto: Pró-Reitoria de Pós-Graduação, Pesquisa e Inovação)

Pesquisa incêndio florestal na Antártica

Professora participa de pesquisa sobre incêndio florestal na Antártica no período Cretáceo

(Reportagem: Gabriella Praça/Jornalista Comso)

especial covid

Especial Covid-19 - parte 3

(Reportagem: Gabriella Praça/Jornalista Comso)

empoderamento local

- Empoderamento local e ordenação territorial - poder e território
- Transformação ágil em um cenário de engenharia de software contínua

(Texto: Pró-Reitoria de Pós-Graduação, Pesquisa e Inovação)

- Síndrome da apneia obstrutiva do sono em indivíduos adultos
- Mapeamento de processo do centro cirúrgico

(Texto: Pró-Reitoria de Pós-Graduação, Pesquisa e Inovação)

especial covid

Especial Covid-19 - parte 2

(Reportagem: Gibran Rocha/Jornalista Comso)

jurisprudencia stf

- Equilíbrio entre os poderes no Estado Federado brasileiro: análise da jurisprudência do STF
- Qualidade, segurança do paciente e gerenciamento de riscos relacionados à assistência à saúde

(Texto: Pró-Reitoria de Pós-Graduação, Pesquisa e Inovação)

especial covid

Especial Covid-19 - parte 1

(Reportagem: Gabriella Praça/Jornalista Comso)

pesquisa fair em enfermagem

- Fisiopatologia de síndromes inflamatórias e infecciosas: estudo das disfunções metabólicas e inflamatórias e proposta de novos tratamentos
- Gestão de dados de pesquisa Fair na área de enfermagem

(Texto: Pró-Reitoria de Pós-Graduação, Pesquisa e Inovação)

searching as learning

- Searching as learning: a busca de informação como ferramenta para a aprendizagem
- Identificação de marcadores imunes preditivos de gravidade e resposta à terapêutica em pacientes com desordens imunológicas

(Texto: Pró-Reitoria de Pós-Graduação, Pesquisa e Inovação)

biomarcadores infectados covid-19

- Geografias imateriais: escritas imagens e memórias inaparentes
- Biomarcadores e mecanismos patogênicos em pacientes infectados por Covid-19 com manifestações neurológicas

(Texto: Pró-Reitoria de Pós-Graduação, Pesquisa e Inovação)

mamíferos

Estudo revela novo grupo de mamíferos, indicando que África e América estiveram conectadas por mais tempo do que se sabia

(Reportagem: Gabriella Praça/Jornalista Comso)

Síndrome pós-covid

(Produção Vídeo: Núcleo de Imagem e Som da UNIRIO)

era da tecnologia

Era da tecnologia

(Reportagem: Gibran Rocha/Jornalista Comso)

Biomarcadores na esclerose múltipla

- Biomarcadores na esclerose múltipla
- Núcleo multidimensional de gestão do patrimônio e de documentação em museus

(Texto: Pró-Reitoria de Pós-Graduação, Pesquisa e Inovação)

tucunaré

Tucunaré provoca redução de espécies nativas ao ser introduzido em novo ambiente

(Reportagem: Gabriella Praça/Jornalista Comso)

melodrama

- A FÉERIE: pistas para a constituição de uma estética do teatro para a infância e juventude (TIJ)
- Design de Exposições: comunicação e percepção do acervo e da mensagem pelo público

(Texto: Pró-Reitoria de Pós-Graduação, Pesquisa e Inovação)

Entre livros e bytes

Entre livros e bytes

(Reportagem: Gabriella Praça/Jornalista Comso)

judicialização das políticas públicas

- A judicialização das políticas públicas e o Supremo Tribunal Federal
- Observatório sobre a realidade da empregabilidade da população LGBT

(Texto: Pró-Reitoria de Pós-Graduação, Pesquisa e Inovação)

transparência em universidades

- Transparência nas universidades públicas federais
- Inovação social para ações sustentáveis

(Texto: Pró-Reitoria de Pós-Graduação, Pesquisa e Inovação)

ensino de piano

- O ensino do piano
- Bioomiteca mata atlântica

(Texto: Pró-Reitoria de Pós-Graduação, Pesquisa e Inovação)

Mar de Fibras

Mar de Fibras

(Reportagem: Gabriella Praça/Jornalista Comso)

Advogados em causas políticas

Advocacia e Política: uma análise empírica sobre a atuação de advogadas e advogados em causas políticas

(Texto: Pró-Reitoria de Pós-Graduação, Pesquisa e Inovação)

Excelência em Museologia e nas Artes Cênicas

Excelência em Museologia e nas Artes Cênicas

(Reportagem: Daniela Oliveira/Jornalista Comso)

Padrões de mortalidade

- Análise dos padrões de mortalidade no Brasil
- Relações entre plânctons, condições físicas e químicas da água frente a mudanças climáticas em reservatórios

(Texto: Pró-Reitoria de Pós-Graduação, Pesquisa e Inovação)

patrimonio industrial

Patrimônio Industrial e Práticas Artísticas – O patrimônio industrial desativado da Área Portuária, sua potencialidade para usos artísticos culturais e os impactos sobre a população local

(Notícia: Daniela Oliveira/Jornalista Comso)

Personagens em Zoologia

- Aplicação de técnicas estatísticas e de aprendizado de máquina em dados da saúde
- A Zoologia na composição de personagens fictícios

(Texto: Pró-Reitoria de Pós-Graduação, Pesquisa e Inovação)

Sars-cov-2

Estudo clínico 'in vitro' avalia ação da proteína lactoferrina no combate à Covid-19

(Notícia: Gabriella Praça/Jornalista Comso)

efeito antiviral Sars

Efeito antiviral da lactoferrina no combate ao Sars-CoV-2

(Notícia: Gabriella Praça/Jornalista Comso)

Pandemia e Planejamento Urbano

(Produção Vídeo: Núcleo de Imagem e Som da UNIRIO)

Na Cavalgada da evolução

Na Cavalgada da Evolução: redefinição do gênero Equus

(Reportagem: Gabriella Praça/Jornalista Comso)

Fármacos inibidores Covid

Fármacos capazes de inibir enzimas do novo coronavírus

(Notícia: Comso)

Jogos e matemática

- Jogos e Matemática

- Pensamento intuitivo, redes sociais e volatilidade na disputa presidencial de 2018
(Texto: Pró-Reitoria de Pós-Graduação, Pesquisa e Inovação)

Habitat de minhocas de Brumadinho

Perda de habitat de minhocas expostas a rejeitos da barragem de Brumadinho

(Notícia: Comso)

frutas e vegetais em mercados do Rio

Resíduos de processamento de frutas e vegetais: um estudo de caso em dois mercados no Rio de Janeiro

(Notícia: Comso)

Baunilhas brasileiras

- Valorização das baunilhas brasileiras

- O piano brasileiro: repertório, ensino e interpretação
(Texto: Pró-Reitoria de Pós-Graduação, Pesquisa e Inovação)

Contaminação enfermeiros

Impacto da infecção pelo novo coronavírus em profissionais da enfermagem

(Notícia: Gabriella Praça/Jornalista Comso)

Pesquisa de insetos

- Sistemática e Biogeografia de Tricópteros Neotropicais
- Modelagem estrutural de proteínas e desenho de fármacos

(Texto: Pró-Reitoria de Pós-Graduação, Pesquisa e Inovação)

Do laboratório para a população

Do laboratório para a população

(Reportagem: Gabriella Praça/Jornalista Comso)

saúde mental

Pandemia e Saúde Mental

(Produção Vídeo: Núcleo de Imagem e Som da UNIRIO)

Pandemia e o novo normal no Turismo

(Produção Vídeo: Núcleo de Imagem e Som da UNIRIO)

Problemas de visão

Problemas de visão: é hora de se cuidar

(Produção Vídeo: Núcleo de Imagem e Som da UNIRIO)

Adesão ao tratamento: um desafio a mais na luta contra a Aids

(Produção Vídeo: Núcleo de Imagem e Som da UNIRIO)

Plantas Medicinais: a cura pela natureza

(Produção Vídeo: Núcleo de Imagem e Som da UNIRIO)

Ambientação Prisional

- Os efeitos da prisão na ambientação do egresso penal no retorno à liberdade
- Almanaques para popularização de ciência da computação e desenvolvimento do pensamento computacional no ensino fundamental e médio

(Texto: Pró-Reitoria de Pós-Graduação, Pesquisa e Inovação)

Células inflamatórias

Pesquisa sobre células neurais estuda como inibir processos inflamatórios no cérebro
(Texto: Instituto Biomédico)

Tucunaré

 

 

- Tucunarés introduzidos em lagos e represas, recurso pesqueiro ou ameaça à fauna nativa?
- Estudo baseado em dados sobre o cancelamento de viagens em aplicativos de taxi e transporte individual de passageiros

(Texto: Pró-Reitoria de Pós-Graduação, Pesquisa e Inovação)

Agrotóxicos

 

 

Brasil, o país dos agrotóxicos

(Produção Vídeo: Núcleo de Imagem e Som da UNIRIO)

Pesquisa do Programa de Pós-graduação em Alimentos e Nutrição da UNIRIO pode contribuir para o tratamento da doença Celíaca

(Notícia: Liliana Glanzmann Vallejo/Jornalista Comso)

 

 

Grupo de Pesquisa em Bioinformática da UNIRIO utiliza modelos computacionais para analisar novo tratamento para doenças infecciosas

(Notícia: Liliana Glanzmann Vallejo/Jornalista Comso)

Pesquisa Leite

 

 

Equipe especializada e inovação tecnológica a serviço da agricultura familiar
(Reportagem: Liliana Glanzmann Vallejo/Jornalista Comso)

doenças neurológicas

 

 

Grupo de pesquisa da UNIRIO utiliza inteligência artificial para estudo de doenças neurológicas

(Notícia: Gabriella Praça/Jornalista Comso)

Coleção reúne bactérias

 

 

Coleção reúne bactérias de origem alimentar resistentes a antibióticos
(Reportagem: Daniela Oliveira/Jornalista Comso)

A dieta do cervídeo gigante

A dieta do cervídeo gigante
(Reportagem: Daniela Oliveira/Jornalista Comso)

Você é adepto dos Chás

Você é adepto dos Chás terapêuticos?
(Entrevista: Liliana Glanzmann Vallejo/Jornalista Comso)

Proteína do leite pode inibir zika

Proteína do leite pode inibir infecção por Zika e Chikungunya
(Reportagem: Gabriella Praça/Jornalista Comso)

Professor da UNIRIO realiza pesquisa em parceria com universidade da Colômbia

Professor da UNIRIO realiza pesquisa em parceria com universidade da Colômbia
(Entrevista: Liliana Glanzmann Vallejo/Jornalista Comso)

Pesquisa ou esporte

Pesquisa ou esporte? Por que não os dois?
(Entrevista: Liliana Glanzmann Vallejo/Jornalista Comso)

Grupo de pesquisas da UNIRIO realiza estudos em busca de uma web inclusiva

(Reportagem: Letícia Hermont/Jornalista Comso)

Em busca de fósseis

 

Em busca de fósseis do Cretáceo na Antártica
(Reportagem: Gabriella Praça/Jornalista Comso)

Arquivo verde - conheça o herbário

Arquivo verde - conheça o Herbário da UNIRIO
(Reportagem: Daniela Oliveira/Jornalista Comso)

Dos quadrinhos para a sala de aula

Dos quadrinhos para a sala de aula
(Reportagem: Daniela Oliveira/Jornalista Comso)

Nutrição Funcional

Nutrição Funcional
(Produção Vídeo: Núcleo de Imagem e Som da UNIRIO)

 

 


VOLTAR AO TOPO ↑


 

 

  • Serviços
  • Contatos
  • Guia Telefônico
  • Portal Unirio
  • Navegação
  • Acessibilidade
  • Mapa do Site

Desenvolvido com o CMS de código aberto Plone