• Ir para o conteúdo 0

Ferramentas Pessoais

  • Acessar
  • Ir para o conteúdo 1
  • Ir para o menu 2
  • Ir para a Busca 3
  • Ir para o rodapé 4
  • acessibilidade |
  • alto contraste |
  • Mapa do Site
COMSO - unirio
Coordenadoria de Comunicação Social
Busca Avançada…
  • Portal Unirio
  • Guia Telefônico
  • Contatos
Menu

Cerimonial e eventos

Agenda de Eventos

Identidade Visual UNIRIO 

Ciência na UNIRIO

Informativo Em Foco

Comunica UNIRIO

UNIRIO na Mídia  

Redes Sociais

Banco de Imagens Institucional

Campanhas

Central de Informações 

Manuais e Relatórios 

Normas

Sobre a Comso  

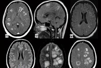
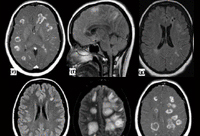
Você está aqui: Página Inicial / Imagens / Imagens ciencia na unirio / Do laboratório para a população
Info

Do laboratório para a população

Do laboratório para a população
Imagem no tamanho completo: 57 KB | Visualizar imagem Visão Baixar imagem Download
Notícias
Equipe da Comso participa de evento sobre comunicação pública, soberania e fortalecimento institucional das Ifes 16/05/2023
Servidora de universidade da Argentina participa de intercâmbio técnico na Comso/UNIRIO 03/05/2023
Tese de jornalista da UNIRIO é indicada ao Prêmio Capes de Tese 2023 26/04/2023
  • Serviços
  • Contatos
  • Guia Telefônico
  • Portal Unirio
  • Navegação
  • Acessibilidade
  • Mapa do Site

Desenvolvido com o CMS de código aberto Plone