• Ir para o conteúdo 0

Ferramentas Pessoais

  • Acessar
  • Ir para o conteúdo 1
  • Ir para o menu 2
  • Ir para a Busca 3
  • Ir para o rodapé 4
  • acessibilidade |
  • alto contraste |
  • Mapa do Site
COMSO - unirio
Coordenadoria de Comunicação Social
Busca Avançada…
  • Portal Unirio
  • Guia Telefônico
  • Contatos
Menu

Cerimonial e eventos

Agenda de Eventos

Identidade Visual UNIRIO 

Ciência na UNIRIO

Informativo Em Foco

Comunica UNIRIO

UNIRIO na Mídia  

Redes Sociais

Banco de Imagens Institucional

Campanhas

Central de Informações 

UNIRIO em Libras 

Manuais e Relatórios 

Normas

Sobre a Comso  

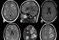
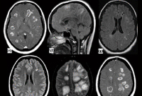
Você está aqui: Página Inicial / Imagens / Imagens ciencia na unirio / Do laboratório para a população
Info

Do laboratório para a população

Do laboratório para a população
Imagem no tamanho completo: 57 KB | Visualizar imagem Visão Baixar imagem Download
Notícias
Equipe da Comso participa de evento sobre comunicação pública, soberania e fortalecimento institucional das Ifes 16/05/2023
Servidora de universidade da Argentina participa de intercâmbio técnico na Comso/UNIRIO 03/05/2023
Tese de jornalista da UNIRIO é indicada ao Prêmio Capes de Tese 2023 26/04/2023
  • Serviços
  • Contatos
  • Guia Telefônico
  • Portal Unirio
  • Navegação
  • Acessibilidade
  • Mapa do Site

Desenvolvido com o CMS de código aberto Plone